カリエールディスタライザー

こんにちは!歯科衛生士のコジマです!
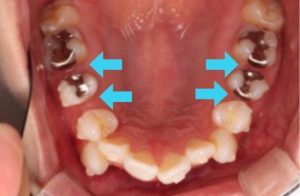
歯列から元気よくはみ出した八重歯(犬歯)を並べるために奥歯を後ろにコツコツと1本ずつ動かす段階では、、、


わたしは、カリエールディスタライザーというこちらの装置↓をつけています。

上の犬歯から3本後ろの奥歯にカリエールを接着し、犬歯にゴムを掛けて下の奥歯につけたポッチに引っ掛けると、犬歯とその奥の歯をバババッ!!と後ろに送れます。
1年以上かかる動きを、4ヶ月で行えます。
大きな治療期間短縮に繋がるのです!!
これはなんと朗報な、、(嬉しくて号泣)
装置を歯に付ける作業は私の歯並びだと難易度が高いようでしたが、”我が院長のゴッドハンド”によりまして、しっかりと装着できました!!!
ちなみに、わたしは犬歯と奥歯との間の長さが長すぎたので、右側は銀色の装置でしたが、左側は下の写真のように透明な装置で付けることができました。ほとんどの場合は透明な装置で可能なようです。

この装置を3〜4ヶ月着けます。
下のアライナーはそれまでと同様に継続して着けていきます。
カリエールディスタライザーにゴムを掛けてみて、、、
・装置が粘膜に引っ掛かることはなく痛い所は全く無い
・喋る程度だと見えない、口を開けて笑うとゴムと装置の一部が見えるくらい
・食事はゴムを外していつも通り食べられる
・今までより食べ物が詰まりやすい
・6時間後くらいからゴムに引っ張られて痛みのような締め付け感のようなものがある
・あくびが意外にも出来て安心
(くしゃみは花粉症ではないのでまだ実証できてません)
という印象でした!


