全国から患者さんが来られる3つの理由
01
全国的に導入率10%程度の歯科用CTなど精密な治療を可能にする設備
02
遠方からでも通いやすく安心なセレック即日治療・オンライン診療の導入
03
虫歯から審美まで。豊富な知識を元にあなたの歯のキレイを一緒に考えます
研究知識をもとに選び抜いた医療システムと技術
歯科用CTスキャン
歯根からの精密な治療を実現
歯科用CTは、通常のレントゲンとは違い、3次元で歯の状態を解析できます。
矯正治療でも、歯科用CTのデータを口腔内スキャンデータと統合し、歯根の動きまでしっかりと計算しながら治療を進めます。
iTero Lumina
虫歯の早期発見・噛み合わせの把握
初診時にはiTero Luminaを使用。
非接触で3Dの歯型や口腔内を採得でき、より早く、しっかりと歯の状態を把握します。
また、矯正をはじめるときには、治療が完了後のイメージをシミュレーションできます。
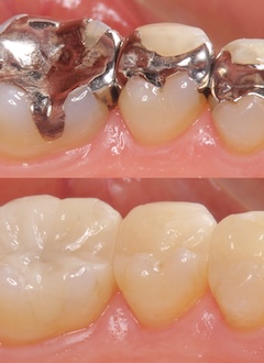
セレック(CEREC)
質の高いセラミックで即日治療
歯の詰め物・被せ物では、1世紀以上の歴史がある世界的な医療メーカーの手がける「セレック(CEREC)」により、質の高いセラミックで即日治療を実現します。
治療部分の衛生面が保たれるだけでなく、治療時間、通院回数を削減します。
ホワイトニングシステム
歯に優しく、白さを高める
当院では歯の白さだけでなく、歯への優しさも考慮した、ホワイトニングシステムを導入しています。
歯の汚れをやさしく浮き上がらせるため、施術の痛みや歯への負担が気になる方にもおすすめです。
歯並びのお悩み
歯を大切に考える
歯のメインテナンスは、多くの歯科医院で行われていますが、研磨剤で「磨く」やりかたは歯を痛めます。
最新理論では、歯は磨かないで低侵襲のパウダークリーニングを行い、ハイドロキシアパタイトを塗り込むことが推奨されています。
ナノケア™で健康で白く美しい歯を
ご希望の方には、ナノケア・プログラム(保険外)各種を定期的に行い、エナメル質のアンチエイジングを行います。
歯を失っても快適に
大切にしたい歯ですが、どうしても抜かなければならないこともあります。
その場合の選択肢は、インプラントと入れ歯がありますが、最近では痛くない入れ歯も人気です。
よくある質問です
当院は完全予約制です。
急患の方も、ネット予約やお電話、LINE等からご連絡いただいてから、ご来院ください。
実は、私どもの都合で言えば、待合室で並んでお待ちいただく方が効率はいいのです。
しかし、歯科治療は一定回数の通院が必要である事から、患者様の時間効率や都合に配慮し、多くの歯科医院が予約制になっています。
是非ご予約いただいた上で、他の患者様の都合をご配慮の上、出来るだけ変更のないようにお願いいたします。
もちろんです。カウンセリングは無料で行っています。
お問い合わせはLINEで行っていただくのが最速です。
LINEをお使いではない場合は、お電話でAIに応答していただくか、お問い合わせフォームからご連絡ください。
当院の電話対応は、基本的にAIによる自動応答になります。AIに応答いただければ、こちらから折り返します。
お急ぎの場合は、LINEからチャットでお問い合わせいただいた方が早い場合が多いです。

